症例
【50代 女性】
意図的再植
- 担当医
- 藤井 泰造 先生
- 主訴
- 左下かむと違和感
- 期間
- 一年ぐらい
- 費用
- 保険診療
- 治療内容
- 補綴物除去後歯牙を一度抜歯。口腔外で根切および根管形成を行い逆根管充填後口腔内へ戻し固定。
動揺落ち着いたのを確認後CAD/CAM冠にて補綴
- 治療に伴うリスク
- 術中:抜歯時に歯根破折の可能性
術後:歯根吸収(置換性吸収)、付着の部分的非獲得(部分的な深いポケットの形成)
【20代 男性】歯周基本治療・ホワイトニング・
セラミック補綴
【40代 男性】歯周基本治療
【50代 女性】歯周組織再生療法
【70代 女性】根管治療
【30代 男性】インプラント治療
インプラント・
矯正治療
マイオブレイス
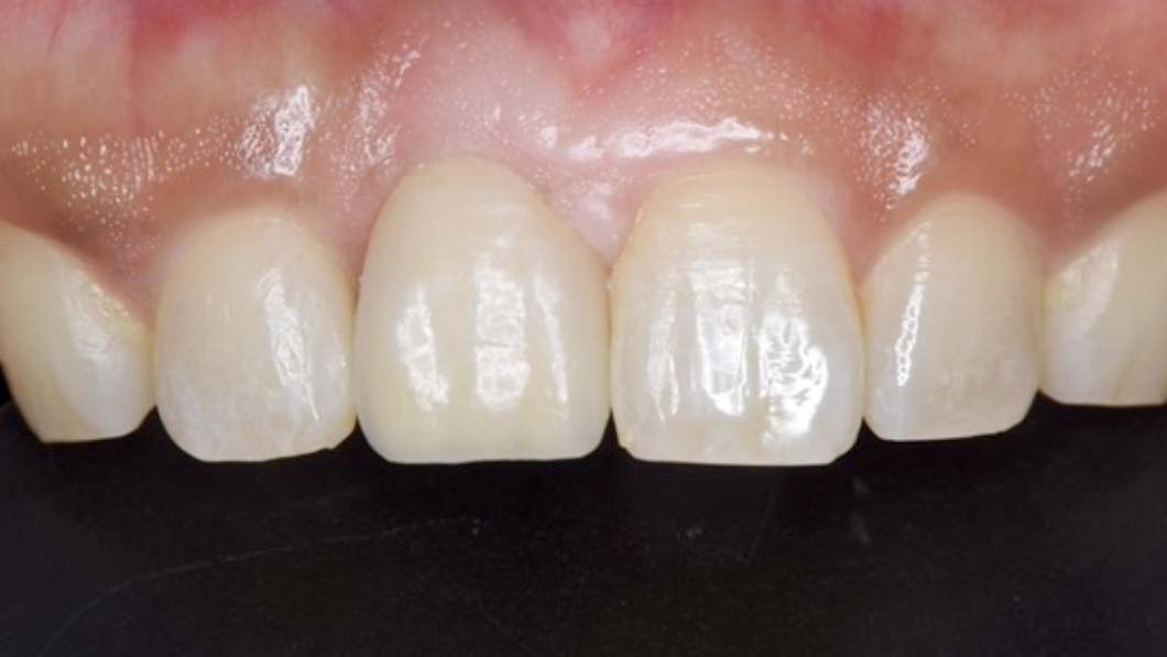
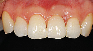
前歯単独
インプラント埋入
前歯部インプラントと
セラミック冠による
審美補綴
- 担当医
- -
- 主訴
- 歯根にひびが入ったことが原因で歯肉が腫れを繰り返すようになり来院されました。
- 期間
- 約11ヶ月
【通院頻度】
月2回程度
- 費用
- 【総治療費用】
600,000円 (税込:660,000円)
【金額備考】
[インプラント・GBR]
400,000円 (税込:440,000円)
[歯周外科・クラウン]
200,000円(税込:220,000円)
- 治療内容
- 右上1を抜歯しソケットプリザーベーション(抜歯したまま放置すると骨が高度に吸収してしまうため、それを予防するための処置)を行い、隣在歯と骨レベルを合わせたのちにインプラント埋入を行った。
インプラントは理想的な状態に仕上がり、他の歯のクラウンも美しく調和することができた。患者さんも非常に満足度がたかかった。
- 治療に伴うリスク
- -



















