根管治療
愛媛県松山市の
歯医者・カナザキ歯科の
精密根管治療
(マイクロエンド)

根管治療(歯内療法)とは
根管治療とは、深い虫歯や歯の亀裂、外傷などの原因により、歯の根の中の歯髄(神経や血管など)が炎症や感染を起こした際に施す治療法です。歯の神経の通る管(根管)の神経を取り除き、根の先までキレイにしていきます。「歯根治療(歯の根っこの治療)」とも呼ばれています。
こんなお悩みをお持ちの方、
ご相談ください
- むし歯が深く
「抜歯するしかない」と診断された - 「歯根嚢胞」「歯根膜炎」と診断され、
抜歯が必要と診断された - 「歯髄炎」と診断され
神経を取るしかないと言われた - 可能なかぎり自分の歯を残したい 等
一般的な医院で「もう、この歯は残せない」と言われるような深い虫歯も、正確な診査診断に基づく精密な根管治療を行うことで、歯の寿命を延ばせる(抜かずに残せる)ケースがあります。
虫歯の治療で本当に大切なのは、外から見えない部分の治療です。歯ぐきや骨の中に隠れている「歯根」の治療をキチンと正確に行なうことで、長年の痛みがとれたり、かぶせ物の寿命を驚くほど長く保てる可能性があります。
虫歯を放置してしまうと?
(症状やリスク)
歯の痛みで歯科に行くと、「むし歯が深いので神経を取るしかないです」「根の治療をしましょう」と言われたことがあると思います。
虫歯を放置しておくと、神経組織のある根の管(根管)に口内のばい菌が入り込んで増殖し、歯の根の先の顎の骨を溶かしてしまい膿みの袋ができます(根尖病巣)。
このままの状態を放っておいても自然治癒は見込めないばかりか、身体にまで影響が及び、病気の原因になる事もありますので早めに歯科医院へ行き適切な治療を受ける事が大切になります。
歯の寿命を左右する治療
(根管治療の重要性)
根管治療は、歯科治療においてとても重要な治療です。その歯の寿命を決定付ける治療といっても過言ではありません。
家を建てるのと同じで、基礎になる根の治療をしっかりしていなければ、どんなに高価なセラミックの歯を入れても、後々根の中に膿(感染物質)がたまってきたり、根のまわりに炎症が起こったりして、せっかく装着したセラミックを外して再治療が必要となる場合があります。最悪の場合、歯を抜かなければならなくなるかもしれません。
そのような事態をさけるため、丁寧に適切な根管治療を行う必要があります。
根管治療には、「リーマー」や「ファイル」と呼ばれる器具で、細菌に感染してしまった歯質や神経を徹底的に除去していきます。 根管治療は時間と技術を必要とする治療のため、医師の経験はもとより、精密な治療を行うための設備環境が整っている事が大前提となります。
カナザキ歯科では、各種設備に加え「マイクロスコープ」を使用した精密根管治療・マイクロエンドを推奨しております。
動画で見る根管治療
この歯本当に抜くの?②
【ひどい痛み(根の治療)篇】
残せる歯 残せない歯
カナザキ歯科の
精密根管治療・
マイクロエンドの特徴

マイクロスコープを用いた
精密な治療
【マイクロエンド(自由診療)】
医療先進国であるアメリカやヨーロッパでは、マイクロスコープ(高精度手術用顕微鏡)、ルーペを使用して歯科治療を行うことは常識となっています。 しかし日本の歯科治療のほとんどが肉眼で行われているのが現状です(日本全体の歯科医院の2~3%しかマイクロスコープは普及していない状況)。
根管治療は、肉眼では見ることのできないほど細かい部分を治療するためミクロン単位(1mmの1000分の1)の精度が必要とされます。そのため、ばい菌に感染した組織を除去するためには専用の器具や設備が重要になります。
愛媛県松山市の歯医者・カナザキ歯科ではマイクロスコープ(高精度手術用顕微鏡)を導入することにより、肉眼では治療不可能であった精密な治療が可能なのです。
マイクロスコープ用の
数多くの器具を導入
【マイクロエンド(自由診療)】
マイクロスコープを使用した拡大視野で治療を行なっていくためには、従来の治療器具よりも小さく精度の高い精密治療用のインスツルメント(器具)が必要不可欠となります。このミクロン単位での小さな器具を使用してくことにより、より正確な治療を行うことができます。
- 多種類の超音波チップ
- 多種類のマイクロエキスカ
- NiTiファイル
NiTiファイル
(ニッケルチタンファイル)とは
「ファイル」とは、歯の根の中の感染源(汚染された神経等)を除去する際に用いる細長い治療器具です。ニッケルチタンファイル(Ni-Tiファイル)は、従来のステンレス製のものと比べて非常にしなやかな特性を持ちます。その特性を活かすことで、根管内の組織を傷つけるリスクを最小限にしつつ、緻密に感染源の除去を行うことが可能となりました。
根管治療の治療成績を飛躍的に高める要素の一つですが、比較的新たに開発された器具であり、使いこなすには相応の技術が必要です。
当院の歯科医師は、ニッケルチタンファイルにおいても確かな知識と技術を習得していますので、安心してお任せいただけます。
それぞれの歯に適した
根管充填法の選択
きれいになった根管は、新たに「菌」が侵入しないように完全に封鎖する必要があります。その「根管を封鎖する治療」のことを「根管充填」と呼びます。 それぞれの根管の形態や状態によって、その根管に適した根管充填の方法を選択し、根管充填の完成度を上げていきます。
- 垂直加圧充填:Super Endo α βの使用
- 側方加圧充填
- Pro root MTA
Pro root MTAとは
封鎖性に大変優れた材料で、生体親和性に優れたすばらしい材料です。日本では比較的新しい材料ですが、世界レベルで評価されています。 当院でも、これまで「抜歯」と診断せざる得なかった症例にプロルートMTAを用いたことにより、抜歯をせずに維持しているケースが数多くあります。
ディスポーザブル器具の
使用と衛生管理の徹底
消毒・滅菌は徹底して行うだけでなく、使用する器具で可能なものはディスポ(使い捨て)器具を使用し、治療毎に新しいものに交換するようにしております。
無菌的処置を目指した
ラバーダム防湿の実施
ラバーダム防湿とは根管治療を行う際、歯にラバーダムというゴムのシートを掛けることで、術野に唾液等が入り込むのを防ぐ方法です。
当院では症状やご希望に合わせてラバーダムを用いた根管治療を行うことが可能です。より質の高い根管治療をご提供しております。
ラバーダム防湿を行う主な目的
- 治療する歯に唾液がかかるのを防ぐ
(無菌的処置) - 治療時に術野を見えやすくする
- 治療時に使用する薬品が
口の中に流れるのを防ぐ - 器具が誤って口の中に入るのを防ぐ 等
歯科レーザーの応用
レーザーは、根管内部の細菌や感染物質を徹底的に除去することが可能です。従来法よりも高い除菌効果が得られ、再発リスクの軽減にもつながります。難治性の根管感染にも効果的です。
根管治療中に破折したファイルが根管内に放置されている場合も従来は、マイクロスコープと超音波でとるしかありませんでしたが、レーザーによる水の微小爆発を利用して、破折ファイルを除去すると今まで以上に成功率が上がります。


根管治療の流れ
検査
お顔やお口の中の写真、パノラマレントゲン写真、頭部X線規格写真(セファログラム)など、診断・治療計画をたてるために必要な検査を行います。

治療計画の説明
検査結果をもとに歯科医が診断し、患者様のご希望に沿った治療計画を立てます。
治療方法について、選択が可能な場合は、それぞれのメリットやデメリット、治療期間や費用の違いなどについて、歯科専門カウンセラーがわかりやすくご説明しますので、納得した上で治療方法を選んでいただくことができます。

治療
治療内容に納得していただきましたら治療の開始です。麻酔を丁寧に行い、痛みやストレスのない治療に配慮しています。

根管の拡大・清掃
マイクロスコープで根管内を拡大して感染部位を映し出します。清掃にはリーマー(ファイル)という専用の器具を使い、感染部位の取り残しがないように隅々まで清掃します。

根管内の洗浄・消毒
シリンジで根管を洗浄し、感染部位が大きい場合には超音波洗浄器を併用して徹底的に洗浄します。数回繰り返すことで細菌のいない状態にしていきます。
根管充填
根管内に緊密に詰め物をして処置は完了です。細菌が詰め物の隙間から侵入しないよう密閉性の高いものを使用します。
補綴物を装着
根管治療後は、詰め物や被せ物を装着します。

経過観察・メインテナンス
治療した歯の経過観察と予防メインテナンスのため定期的な検診にお越しいただき、治療後もしっかりとサポートをさせていただきます。

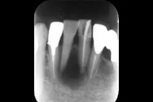
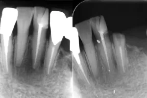
根管治療の症例
Case.01
治療前

治療中

治療後

治療前後の比較
治療前

治療後

| 治療名 | 根管治療 |
| 患者様情報 | 76歳 女性 |
| 担当医 | 岸田 義弘 先生 |
| 費用 | 1根管33,000円~ |
| 主訴 | 下の前歯の歯茎が腫れて痛い |
| 治療期間 | 約2ヶ月 (月1〜2回) |
| 治療内容 | 1.歯髄が生きているかどうかの確認 2.根管治療 3.修復治療 4.経過観察 治療の結果腫れもなくなり、歯の移動も戻りました。 |
| 治療のリスク | 術後2~3日後に痛みが出ることあります。術後1年程経過を追って、治癒傾向があれば経過観察、病変の拡大を認めるならば外科的対応になる可能性があります。 |
根管治療でよくある
ご質問まとめ

Q.治療の時間はどれくらいですか?
A.1回の治療時間は45~60分の方が多いです。
Q.治療の期間はどれくらいですか?
A.根管治療(神経を取る治療)ですと1~2回、再治療(過去の治療のやり直し)ですと2~3回の方が多いです。
Q.費用はいくらくらいかかりますか?
A.歯の状態や種類によって違いますのでお問い合わせください。
Q.痛みや不快症状はどうですか?
A.痛みが出ることは稀にあります。根管治療と再治療を比較すると再治療時のほうが痛みが出ることが多いようです。鎮痛剤を処方いたしますので痛みのある時は服用してください。また、痛みが治まらないなどのときはすぐに医師に連絡を取ってください。
Q.生活上気をつけることはありますか?
A.むし歯の予防、歯周病の予防をこれまで以上に正しく行っていただくことが肝要となります。
上記以外にも少しでも気になることがございましたら、お一人で悩まずに、どうぞ一度遠慮なく愛媛県松山市の歯医者・カナザキ歯科へご相談ください。患者様の不安や疑問に丁寧にお応えいたします。
副作用とリスクについて

セラミックについてはほとんど問題ありませんが、金属の補綴物についてはまれに金属アレルギーの症状が出ることがありますので、心配な方はご相談ください。
マイクロスコープを用いて精密な根管治療を行うと良い結果が出るという報告データはありますが、100%成功するわけではありません。ケースによっては上手くいかない場合もあります。