【50代 女性】歯周組織再生療法

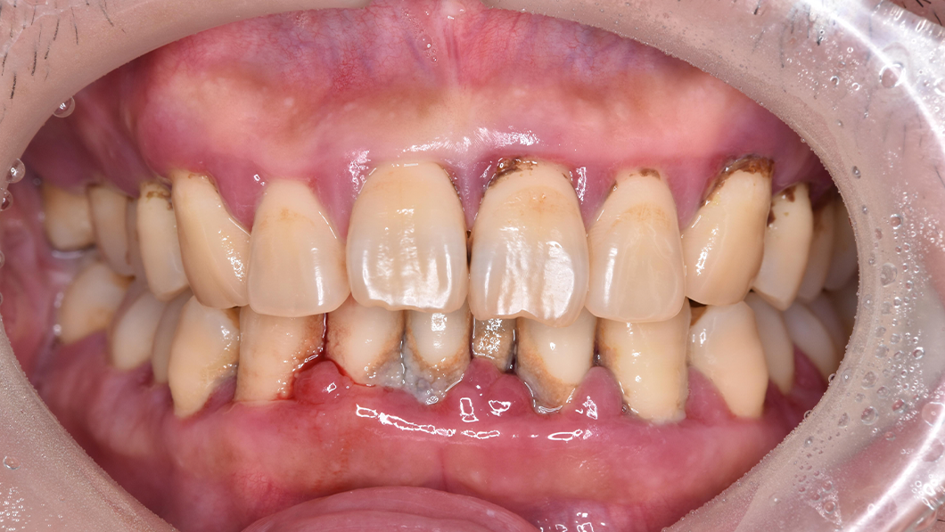
治療前

治療中

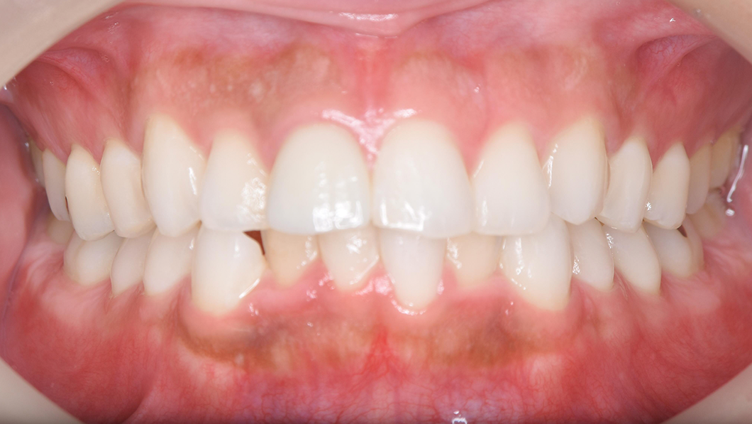
治療後

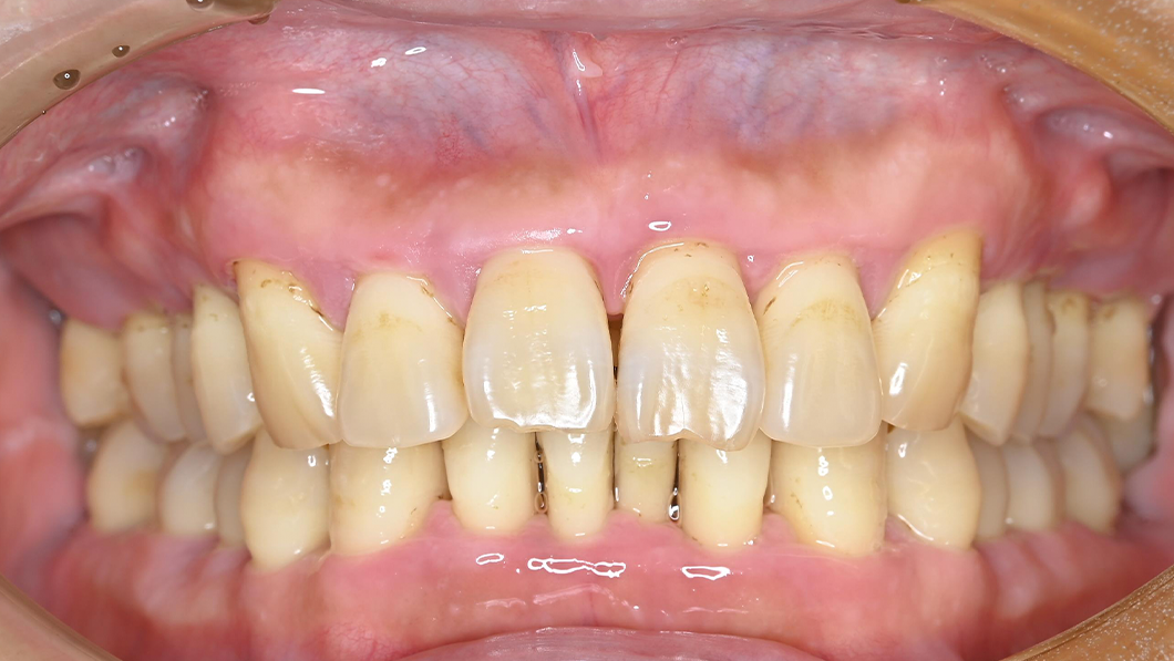
治療前

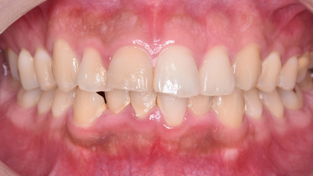
治療後

担当医 亀岡 聡貴 先生
主訴 右下3番付近の歯茎が1週間前から腫れている
期間 1年
費用 15.000円 (税込) 保険内
治療内容 歯周基本治療(SRP、TBI、咬合調整など)+歯周外科治療(再生療法)を行いました。全顎的に歯茎の炎症も落ち着き、レントゲン上でも骨の再生を認められました。
治療に伴うリスク 現在の状態の維持のため、継続的にメインテナンスを行う必要があります。

関連症例

診療時間
9:00-13:00 ●※
14:00-18:00 ●※

【受付時間】月〜土 8:30〜17:30
●※の受付時間】9:00〜17:00
【休診日】日曜・祝日

  • 土曜診療
  • 無料託児所あり
  • 駐車場34台完備

ご予約・ご相談はお気軽に!

地図

松山市の歯医者 カナザキ歯科
〒791-0245 愛媛県松山市南梅本町甲878-5

お車でお越しの方

松山駅から車で約20分
34台の専用駐車場を完備しております。
東温スマートインターから車で8分


電車でお越しの方

松山駅から約20分
伊予鉄横河原線 梅本駅より徒歩1分