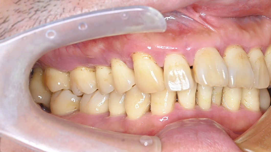
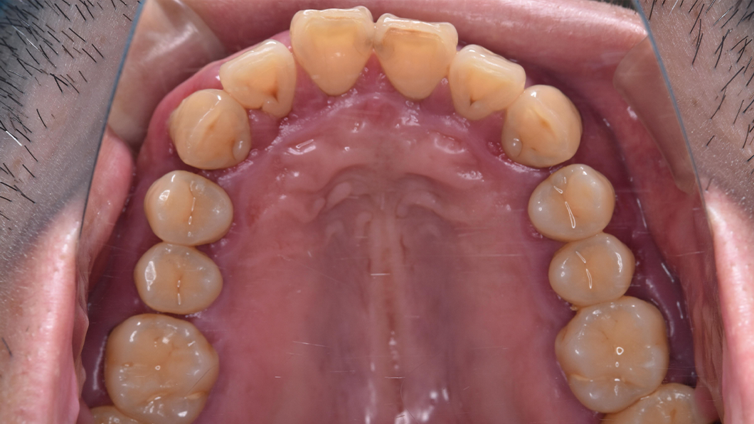
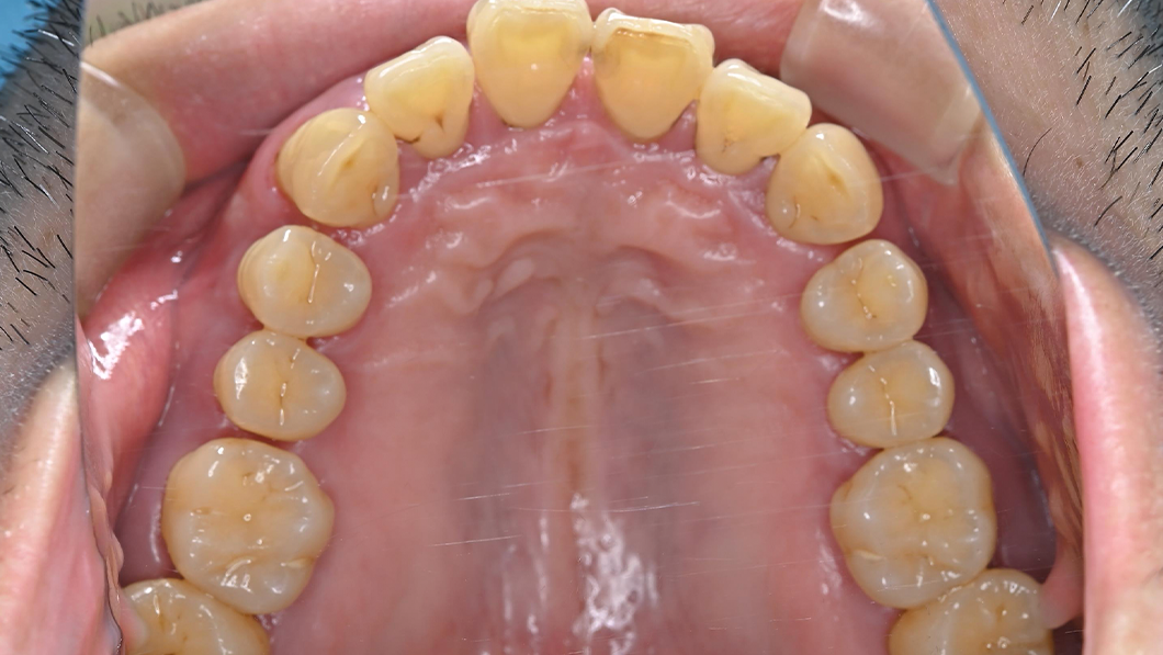
【40代 男性】歯周基本治療

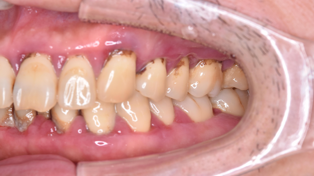
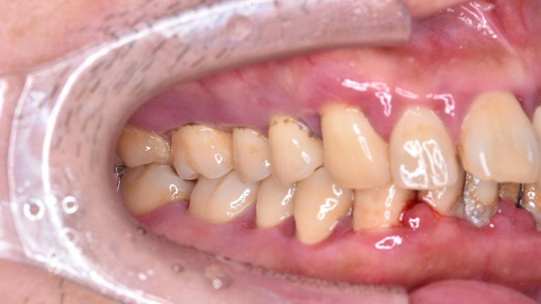
治療前

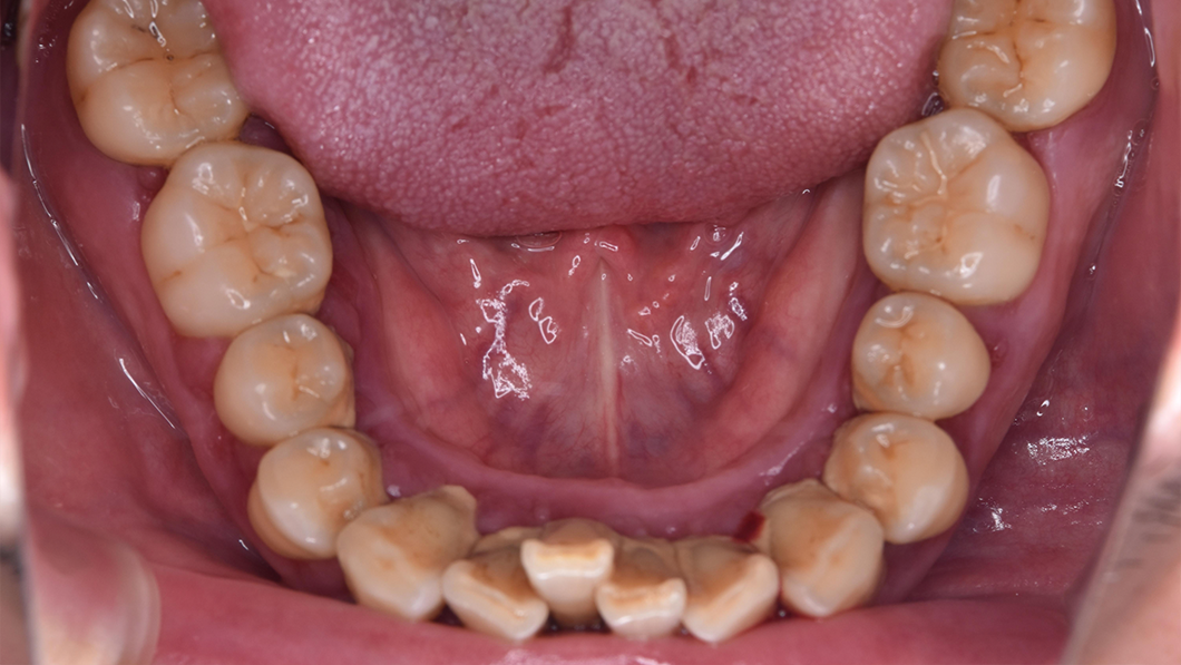
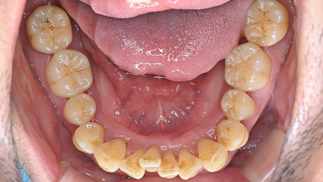
治療後

担当医 加古 賢輔 先生
主訴 全額的歯周病による歯周組織の炎症
期間 2-3ヶ月程度
1-2週間に1回
費用 保険診療内
治療内容 SC、SRP、歯科衛生士実地指導、TCH指導
治療に伴うリスク 特記事項なし

関連症例

診療時間
9:00-13:00
14:00-18:00

【受付時間】月〜土 8:30〜17:30
】木曜は祝日のある週のみ診療あり
【休診日】木曜・日曜・祝日

  • 土曜診療
  • 無料託児所あり
  • 駐車場34台完備

ご予約・ご相談はお気軽に!

地図

松山市の歯医者 カナザキ歯科
〒791-0245 愛媛県松山市南梅本町甲878-5

お車でお越しの方

松山駅から車で約20分
34台の専用駐車場を完備しております。
東温スマートインターから車で8分


電車でお越しの方

松山駅から約20分
伊予鉄横河原線 梅本駅より徒歩1分