症例
【50代 女性】
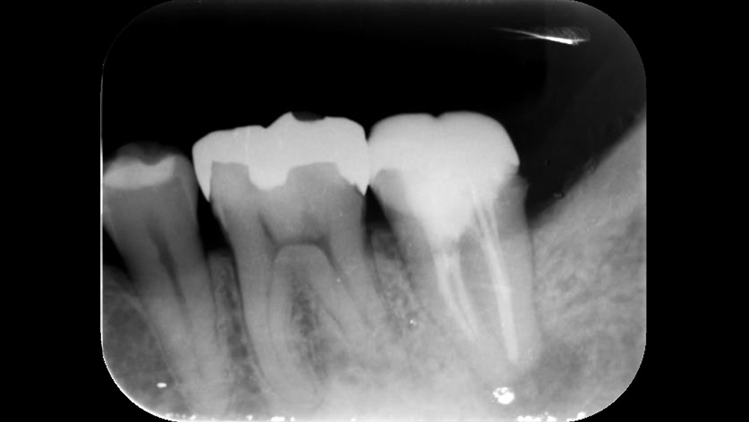
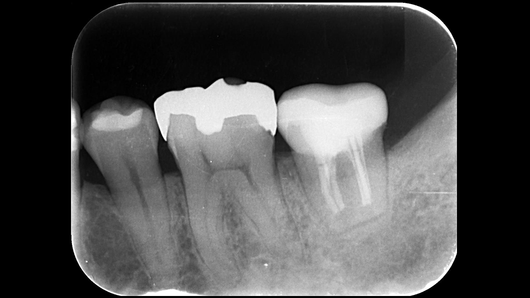
意図的再植
- 担当医
- 藤井 泰造 先生
- 主訴
- 左下かむと違和感
- 期間
- 一年ぐらい
- 費用
- 保険診療
- 治療内容
- 補綴物除去後歯牙を一度抜歯。口腔外で根切および根管形成を行い逆根管充填後口腔内へ戻し固定。
動揺落ち着いたのを確認後CAD/CAM冠にて補綴
- 治療に伴うリスク
- 術中:抜歯時に歯根破折の可能性
術後:歯根吸収(置換性吸収)、付着の部分的非獲得(部分的な深いポケットの形成)






| 診療時間 | 月 | 火 | 水 | 木 | 金 | 土 | 日 |
|---|---|---|---|---|---|---|---|
| 9:00-13:00 | ● | ● | ● | ※ | ● | ● | ━ |
| 14:00-18:00 | ● | ● | ● | ※ | ● | ● | ━ |
【受付時間】月〜土 8:30〜17:30
【※】木曜は祝日のある週のみ診療あり
【休診日】木曜・日曜・祝日
松山市の歯医者 カナザキ歯科
〒791-0245 愛媛県松山市南梅本町甲878-5
松山駅から車で約20分
34台の専用駐車場を完備しております。
東温スマートインターから車で8分
松山駅から約20分
伊予鉄横河原線 梅本駅より徒歩1分