マウスピース矯正
(インビザライン)
愛媛県松山市の
歯医者・カナザキ歯科の
マウスピース矯正
(インビザライン)

初診矯正相談・カウンセリング
愛媛県松山市の歯医者・カナザキ歯科では、矯正の「初診相談」をお受けしております。
また、先進の口腔内3DスキャナーiTero(アイテロ)を導入している当院では、事前に矯正後の歯並びイメージを確認できる「簡易シミュレーション」も受けていただけます。
落ち着いてお話をしていただけるカウンセリングルームも備えていますので、どうぞ気になることは何でもご相談ください。
「美しい歯並び」と
「噛み合わせ」を
重視した矯正治療
矯正で歯を動かすと、今までと噛みあわせが大きく変化する可能性があります。
特に近年、目立たない歯並び矯正として「マウスピース矯正」の人気が高まり、同時に、噛み合わせなどの不具合・トラブルでお悩みの方も多くいらっしゃいます。
当院には「矯正歯科の認定医」に加えて「噛み合わせの認定医」も在籍し、必要に応じて噛み合わせの調整をご提案し調整を施すことで、術後の安定性を高めることができます。
審美的にも機能的にも自然で美しく快適な歯並び・噛み合わせを重視したマウスピース矯正治療をご提供しております。
動画で見るインビザライン
目立つ、痛いという
従来のイメージを払拭する、
最新式の歯列矯正です。
マウスピース矯正
「インビザライン」
について

マウスピース矯正とは?
目立つ、痛いという従来のイメージを
払拭する新しい歯列矯正装置
日常生活でも装着可能な透明のマウスピース型の装置をつけ、そのマウスピースを通常2週間ごとに交換することで、少しずつ歯列を矯正していきます。
見た目にも違和感がないだけでなく、ワイヤー修正などに比べて清掃性も高いので常に清潔に保つことができますので、大人になって諦めていたという方にもおすすめです。
インビザラインとは?
インビザラインとは、世界的にも人気が高まっているマウスピース矯正システムです。アメリカのアラインテクノロジー社にて開発された実績があるマウスピース矯正装置で、マウスピース矯正先進国のアメリカをはじめ、すでに世界1800万人以上の使用実績が報告されています。(2024年11月末時点)
インビザライン矯正は、薄く透明なポリウレタン製のマウスピース(アライナー)を次々に交換していく事で歯並びを治す矯正方法です。
金属を一切使用しないため、違和感や痛みも少なく誰にも気づかれにくいことや、治療期間中も普段通りに食事や歯のお手入れができ、見た目を気にすることなく治療を受けていただけることなどが好評の理由となっています。
当院では、大人向けのインビザライン矯正はもちろん、小児用の「インビザライン・ファースト」にも対応しております。
3D光学スキャナ―
「iTero(アイテロ)」導入医院
iTeroとは、歯の型どりをデジタルで行う先進の口腔内スキャナ―のことです。
カナザキ歯科ではiTero(アイテロ)を導入し、より精密により早く治療を行えるようになりました。
一般的に歯の型取りは印象材(粘土のようなシリコン材)を使って行いますが、当院ではこのような印象材を使用せず、口の中をスキャンニングして即データとして記録することができるiTeroを導入。患者様の負担も少なくスムーズに型取りをすることができるようになります。
さらに、事前の検査の段階で、治療後にどういった歯並びになるのかシミュレーションできる機能も搭載しており、患者様へのご説明の際にも役立てています。
インビザラインの特徴
(メリット・デメリット)
インビザラインのメリット
見えにくい・
気付かれにくい矯正
金属ワイヤーを歯面に取り付けるベーシックなワイヤー矯正装置は、白い歯の上で目立ちやすい難点がありました。しかしマウスピース型矯正歯科装置(インビザライン)は、透明なマウスピース型の矯正装置なのでほとんど見えません。周囲の人に気づかれにくく歯並びを矯正することができます。
取り外しができる
インビザラインはマウスピース型なので、かんたんに取り外しができます。食事のときに取り外して好きな物を食べられるのは、他の矯正装置には無い大きなメリットです。
また、今まで通り歯ブラシや歯間ブラシ、デンタルフロスを使って歯磨きをすることができます。インビザラインのマウスピースは流水で汚れを落とし、専用の洗浄剤で殺菌できるので、衛生面も安心です。
痛みが少なく
自然に矯正できる
10日~2週間の短い期間で次のステップのマウスピースに取り替えていきます。3Dシミュレーションで割り出した治療計画により、1つのマウスピースで動かす歯の距離を小さく設計しているので、他の矯正治療よりも痛みが少ないのが特徴です。マウスピースの厚みはわずか0.5mm程度と薄く、表面が滑らかなプラスチック製で、装着時の違和感も少なめです。
食べたいものが食べられる
従来の固定性の矯正装置ですと、食べたものが間に詰まったりガムや飴などの粘着性の食べ物は避けた方が良いといった制約がありました。
インビザラインでは食事の時に取り外ししますので、基本的に食べ物の制約はありません。また外してブラッシングできますので清掃は容易です。
金属による悩みも解消
固定性の矯正装置の場合はブラケットという歯に付ける装置に金属が含まれていたり、ワイヤーが金属であるために金属アレルギーのある方には問題がある場合がありました。
インビザラインの場合は金属は一切ありませんので、金属アレルギーの方、また金属アレルギーの疑いのある方も問題なく使用可能です。
インビザラインのデメリット
セルフコントロール
(自己管理)が必要
ワイヤー矯正の場合、取り外しは歯科医院で行わなければなりませんが、インビザラインのマウスピースは、患者様ご自身で簡単に取り外すことができます。
ただし、1日20時間以上を目標にマウスピースを装着しないと歯が計画通りに移動せず、治療の失敗につながりかねません。
そのため、決められた時間をきちんと守る患者様の自己管理が必要です。また食後は歯磨きをきちんとしておかないと虫歯にもなりやすくなるため、注意が必要です。
適応できない場合もある
患者様の歯並びやお口の状態によっては、インビザラインでは治療できないことがあります。
歯並びの乱れが大きいケースや、症状によっては従来のワイヤー矯正装置の方が向いている場合や、ワイヤーとマウスピースを併用した方が時間が短縮される場合もあります。
カナザキ歯科では、事前にきちんと診査診断を行い、患者様にとってベストな矯正方法をご提案しています。従来のものから最新の治療方法まで幅広い選択肢をご用意し、あらゆる症状に対応しておりますので、まずはお気軽に当院の矯正相談へお越しください。
インビザライン矯正の
注意点
(失敗・後悔
しないために)

装着時間を守りましょう
1日20時間以上はアライナーを装着してください。装着時間が足りないと矯正の効果が不十分になり、治療期間が長くなります。
取り換え期間を守りましょう
1つのマウスピースは10日~2週間装着してください。期間は短いよりは長い方が間違いありませんが、ドクターの指示に従って下さい。
食事中は外しましょう
食事のときはマウスピースを取り外してください。水を飲む場合は装着したままでもよいですが、味や色の付いた飲み物、例えばジュース・コーヒー・紅茶・赤ワインなどは歯とマウスピースに色がついてしまうため、必ずマウスピースを外してから飲みましょう。
食後の歯磨きは忘れずに
マウスピースの形に影響しないような小さな虫歯の治療は可能ですが、被せ物や詰め物の再治療などで歯の形が変わってしてしまうような場合は、マウスピースの再製作が必要になることがあります。虫歯にならないように、毎日の歯磨きや歯間ブラシ、デンタルフロスなどによるセルフケアをしっかり行いましょう。
定期検診も忘れずに
口腔内環境の変化で矯正の状況も変わります。歯科医院でチェックすることにより、異変に早めに気づくことができ問題を早期に解消できます。
インビザライン治療の
流れ
初診・カウンセリング
はじめに、ドクターが歯のお悩みや治療のご希望をお伺いいたします。
ご希望の場合、お口の中のお写真を撮影し、ご覧いただきながらご説明を行っていきます。
ドクターがお口の状態を拝見し、必要な処置、治療プラン(抜歯が必要かどうか等)、おおよその治療期間についてご説明いたします。

初診で行うこと
- レントゲン撮影
- 歯周検査
- 口腔内写真
- 相談
- 必要があれば口腔内クリーニングとむし歯治療
※初診の費用は保険適応です。
矯正の資料取り
患者様のお口の詳しい情報を収集し、分析・診断を行います。
※料金:13,000円(税別) ここから自費治療となります。


カウンセリング
詳しい診断結果、治療計画(治療機関や抜歯、非抜歯など)、料金についてご説明いたします。

口腔内をスキャンし口腔内の
詳しい情報を収集します

歯の移動シミュレーションの
作成
収集したお口のデータをもとに、現在の歯並びから理想的な歯並びになるまでの歯の移動の3D映像シミュレーションを作成します。
ドクターは歯の移動を確認し必要な変更をアライン・テクノロジー社に指示します。患者様の症例に最適なアライナーの形状や数などをもとにインビザライン矯正治療計画を作成します。
※シミュレーション後に、抜歯の有無や治療期間の変更があれば、その都度ご相談させていただきます。

治療計画の説明
治療の開始から完了まで、歯がどのように動いていくのか、3Dシミュレーションで患者様自身にご確認いただき、治療への理解が深まるよう丁寧に御説明いたします。

アライナー作成
治療計画にご納得いただけましたらアライナーの作成を開始します。
収集したお口の中のデータを基にコンピューターで正確なアライナーをつくります。アライナーは患者様おひとりお一人にあわせて作成したもので完全なオーダーメイドです。

治療スタート
アライナーをはめて治療をスタートします。アライナーセット後は2~3週間に1回のペースで通院していただきます。

保定期間
歯の位置が後戻りを防ぐために矯正治療終了後も必ず保定装置(リテーナー)を装着していただきます。

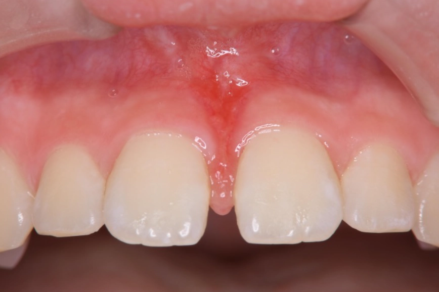
マウスピース矯正の症例
治療前

治療中

治療後

| 治療名 | 上唇小帯切除術、 アライナー矯正治療 |
| 患者様情報 | 10代 女性 |
| 担当医 | 高橋 隼平 先生 |
| 費用 | 800,000円 (税込) |
| 主訴 | 見た目が気になっている。上の前歯は歯ブラシが当たると少し痛い。 |
| 治療期間 | 約1年6ヶ月 (約2~3ヶ月に 1回ペース) |
| 治療内容 | 見た目が気になり、上の前歯は歯ブラシが当たると少し痛いとのことで来院されました。 上唇小帯については、上唇小帯切除術し、傷口が治癒した後は、インビザラインにて矯正治療を行いました。 |
| 治療のリスク | 矯正治療後、保定装置をしっかり使わないと後戻りする可能性があります。 |
矯正歯科治療の
「総額費用」や
「メール相談」について

おひとりおひとりお口の状態は異なります。治療期間・料金等は元の歯並びによって差がありますので、詳しくはカナザキ歯科スタッフまでお問合せください。
また「メール相談」にも対応しております。歯並びのお写真を添付していただければ、より詳しくお答えできると思います。お気軽にお問合せください。